«Бывали забавные находки в мазках – например, пыльца растений». Вместе с врачом-цитологом заглянули в человеческий «микрокосмос» и узнали, какие в нем обитают «нелегалы»
Собеседница «Сильных Новостей» – врач-цитолог из Мозыря Анастасия Пискун. Готовы поспорить, вы нечасто слышите о такой специальности, хотя с мазком «на цитологию» сталкивались практически все женщины. Это один из разделов лабораторной диагностики, где специалисты изучают клетки организма. Для чего? Очень многие болезни начинаются на уровне, который невооруженным глазом не заметишь, – на клеточном, так что роль этих специалистов сложно переоценить.
15 апреля отмечается День специалиста лабораторной диагностики. Как раз есть повод поговорить с Анастасией о том, где учат на врачей ее профиля, правда ли, что все они – интроверты, какими мифами овеяны клетки организма и как они вообще выглядят. Давайте заглянем вместе в микроскоп врача-цитолога!
Как и где получают эту профессию?
– Специализация «цитология», на мой взгляд, одна из самых сложных, но очень интересная, – рассказывает Анастасия. – В 2010 году я закончила Гомельский государственный медуниверситет, медико-диагностический факультет. Интернатуру проходила в Мозыре на базе городской больницы, а также небольшими циклами в других медучреждениях города. Уже тогда поняла, что хочу работать цитологом.

Очень благодарна врачам, которые меня учили, делились опытом, помогали. Медицина не стоит на месте, поэтому врачи учатся постоянно: как самостоятельно, изучая литературу, так и на курсах, конференциях, стажировках. Поддерживаю контакт с коллегами из Гомеля, консультируюсь с ними по сложным случаям – за это им огромное спасибо!
Работу за микроскопом выбирают врачи-интроверты?
– Не могу с этим согласиться: в лабораторную диагностику приходят разные люди, общительные и не очень. В целом врачу моей специализации важно обладать усидчивостью, умением сосредоточиться на процессе – человеку с темпераментом холерика, конечно, будет сложно.
Да, непосредственно с пациентами нам приходится контактировать нечасто – но не считаю это большим минусом. Даже не общаясь, мы помогаем установить диагноз, чтобы врач клиницист мог назначить дополнительное обследование и лечение.
Какие образцы чаще всего исследуете?
– Основное количество работы в моей лаборатории приходится на исследование женских мазков из шейки матки. Так называемые мазки «на онкоцитологию», через которые каждая женщина ежегодно проходит в женской консультации или смотровом кабинете. Основная наша задача – своевременно выявить предраковые заболевания (дисплазии) и другие патологии гинекологического профиля.

Вот так в норме выглядят клетки плоского эпителия шейки матки, которые берут на анализ в гинекологических кабинетах.

А вот главный «пакостник» – вирус папилломы человека. И те самые клетки плоского эпителия, пораженные им.

Если ВПЧ в клетках существует длительно, развивается дисплазия, то есть, предраковое состояние – вот как это выглядит.

Тут уже рак, который развился из дисплазии. Клетки меняют свою морфологию, теряют сходство с нормальными и начинают бесконтрольно размножаться.
Еще присылают материал из молочной железы, соскобы кожи, пункции лимфоузлов и образований мягких тканей – и в целом практически всех органов и локализаций. Наш метод чаще всего – предварительный, и каждая выявленная патология должна подтверждаться с помощью гистологического исследования (биопсии). Но бывает, что нет времени ждать результатов биопсии, и на основании цитологии лечащий врач решает, что дальше делать с пациентом.
Что до патологий, то они самые разные: воспалительные, инфекционные процессы, доброкачественные образования, реактивные изменения в ответ на какое-либо внешнее воздействие, злокачественные опухоли.
Какие клетки человеческого тела лично для вас самые красивые?
– Все клетки по-своему красивы. А некоторые даже могут менять свой облик у одного и того же человека – например, у женщин. Плоский эпителий, выстилающий поверхность шейки матки, выглядит по-разному в зависимости от гормонального статуса: в фазу менструального цикла, беременность, менопаузу.
Какие-то забавные случаи на работе у вас бывали?
– Именно случаев не припомню, зато случались забавные и необычные находки в мазках – например, пыльца растений, случайно попавшая из внешней среды.

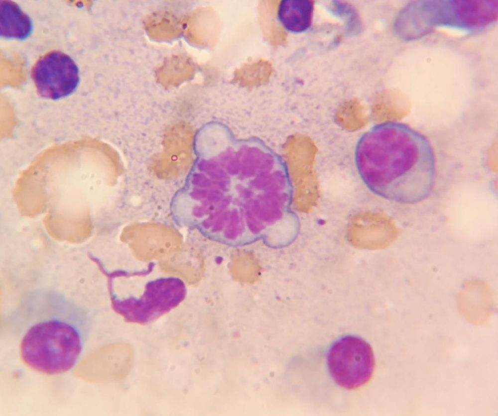
«Цветок» в центре – это митоз, процесс деления клетки.
Можно ли «почиститься» на уровне клеток или это предрассудок? С какими еще мифами сталкиваетесь?
– Человеческий организм – это сложная, уникальная система, в которой все предусмотрено. Очищение происходит благодаря работе органов и систем, и дополнительных внешних «чисток» ему не требуется.
А из предрассудков – мнение, что в работе врача лабораторной диагностики нет ничего сложного: нажимают на кнопки и аппарат сам все выполняет. Или когда говорят: «Что может быть сложного в работе с микроскопом? Посмотрел и все понятно». На самом деле работа в лабораториях всегда напряженная: объемы исследований большие, а часто в условиях дефицита времени, когда анализы нужно делать срочно. Вдобавок нужно быть в какой-то мере и инженером, уметь разобраться с неполадками аппаратуры. И безусловно, мы обязаны знать механизмы возникновения патологий, чтобы понимать, из-за чего изменяется какой-то показатель или морфология клеток.

Деликатная тема… Трихомонады. Это одноклеточные микроорганизмы, которые передаются половым путем. Если доктор их обнаружил, лечиться придется обоим партнерам.
Производители косметики иногда обещают «обновление на клеточном уровне» – крем такое может, или это преувеличение?
– Косметические средства в основном направлены на увлажнение и питание кожных покровов. На обновление клеток, скорее, повлияют косметические процедуры, например, пилинг. Хотя это уже вопрос к специалистам в области косметологии.

Выглядит интересно, но суть довольно неприятная: это клещ демодекс, или железница. Он обитает на коже и при снижении местного иммунитета может провоцировать воспалительные процессы.
Какие клетки в организме восстанавливаются, а какие нет?
– Практически все клетки человеческого организма способны к восстановлению. Какие-то из них обновляются постоянно – например, клетки кожи, крови, желудочно-кишечного тракта. Некоторые обновляются крайне медленно, например, клетки сердечной мышцы.
Что касается нервных клеток, учеными доказано, что они имеют ограниченные возможности к восстановлению – лишь определенные участки головного мозга могут регенерировать. Хотя при массивном повреждении восстановление погибших клеток, к сожалению, невозможно. Однако частично могут восстанавливаться периферические нервы – после травм конечностей, например.
И как обычно, ваш совет пациентам…
– Приходите на профилактические обследования! Как известно, любую болезнь, в том числе злокачественные опухоли, легче предупредить, чем лечить. Заболевания, которые выявили на ранних стадиях, в большинстве случаев успешно поддаются лечению – не забывайте, что медицина стремительно развивается.

Это эпителий молочной железы в норме. Клетки расположены в группе, тесно друг к другу, и выглядят относительно одинаковыми.

А вот здесь пациентку ждет тревожная новость: у нее рак молочной железы. Под микроскопом клетки уже теряют связь друг с другом, становятся крупными и атипичными.
В нашей стране реализуются проекты, которые направлены на раннюю диагностику опухолевых заболеваний. Это анализ на вирус папилломы человека, ПАП-тест (то есть, диагностика рака шейки матки), маммография на диагностику рака молочной железы для женщин определенного возраста. Еще важно проходить колоноскопию для ранней диагностики рака кишечника.
Если обнаружили у себя необычные подозрительные симптомы, какие-либо образования на теле, то важно не затягивать с обращением к врачу и не заниматься самолечением.
Фото предоставлены героиней материала